A-AA+
La bronquiectasia es un ensanchamiento o dilatación irreversible de partes de los bronquios, como consecuencia de una lesión de la pared de las vías respiratorias.
De acuerdo con la revista Archivos de Bronconeumología, Órgano Oficial de la Sociedad Española de Neumología y Cirugía Torácica/SEPAR, este padecimiento supera los cinco casos por cada 10 mil habitantes, por lo que se le considera una enfermedad huérfana en Europa.
Las causas más frecuentes son infecciones respiratorias graves, tos crónica, sangre al toser, dolor torácico y episodios recurrentes de neumonía, de acuerdo con el Manual de Merck de Información Médica General.
Las bronquiectasias pueden afectar a muchas zonas del pulmón o pueden aparecer sólo en una o dos zonas; además causan la dilatación de las vías respiratorias y como consecuencia tienen una apariencia fibrosa.
Cuando esta enfermedad causa la cicatrización y pérdida del tejido pulmonar, pueden sobrecargar el lado derecho del corazón, por lo que podría evolucionar hacia una forma de insuficiencia cardíaca denominada corazón pulmonar.
En los casos más graves, las personas pueden deteriorar lo suficiente la respiración lo cual podría causar niveles anormalmente bajos de oxígeno y niveles altos de dióxido de carbono en la sangre, circunstancia que se denomina insuficiencia respiratoria.
Las bronquiectasias pueden producirse a cualquier edad, pero el proceso suele empezar en la infancia, sin embargo, los síntomas pueden manifestarse hasta una edad adulta.
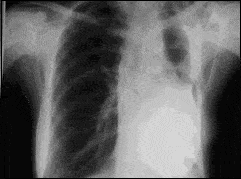
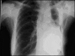
El diagnóstico se puede sospechar por la presencia de los síntomas o por la presencia de una enfermedad que pueda ser causante de bronquiectasia, también pueden realizarse algunas pruebas para confirmar el diagnóstico como las radiografías torácicas.
Algunas causas de la bronquiectasia son las infecciones respiratorias, infecciones bacterianas, la obstrucción bronquial por la aspiración de cuerpos extraños, tumor pulmonar, lesiones por inhalación, son lesiones por vapores nocivos gases, enfermedades hereditarias como fibrosis quística, entre otras.
La identificación precoz y el tratamiento de los trastornos que tienden a causar esta enfermedad, pueden evitar su desarrollo o por lo menos disminuir su gravedad. Otros factores como las vacunas infantiles contra el sarampión y la tosferina, así como un estilo de vida saludable reducen considerablemente el riesgo a padecerla.








